Radiologie interventionnelle

On vous explique ce qu’est la
radiologie interventionnelle
et ses nombreux avantages


A côté de l’imagerie diagnostique qui est la plus connue, certains médecins radiologues, les radiologues interventionnels, pratiquent des interventions curatives en toute sécurité au même titre qu’un chirurgien.

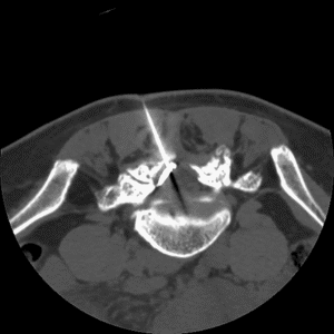
Les radiologues interventionnels utilisent des techniques d’imagerie (échographie, scanner, angiographie) pour réaliser des procédures mini-invasives à visée thérapeutique qui viennent en complément ou en alternative à la chirurgie.

Ces techniques permettent de traiter diverses pathologies sans nécessiter de grandes incisions, les patients n’ont donc pas de cicatrice au décours de l’intervention. Les procédures de radiologie interventionnelle sont souvent moins risquées et plus rapide que la chirurgie traditionnelle.

La radiologie interventionnelle représente une avancée significative dans le traitement de nombreuses pathologies. Grâce à des techniques peu invasives et à des équipements de pointe, elle offre des solutions efficaces et sécuritaires.

Pour en savoir plus sur les procédures spécifiques et les spécialités, n’hésitez pas à nous contacter.

Cerveau/Cou

Découvrez toutes les interventions
réalisées au sein du Groupement
Hospitalier Bretagne Atlantique

Voir toutes les interventions

Les équipements utilisés