L’ostéosynthèse percutanée est une intervention réalisée pour fixer des fragments osseux et soulager la douleur notamment dans le domaine de l’oncologie ostéoarticulaire (lésion osseuse tumorale) et parfois de manière préventive pour éviter la survenue d’une fracture pathologique. Elle est également utilisée dans les suites de fractures post-traumatique ou d’origine ostéoporotique.
Le caractère mini-invasif, le faible taux de complication et la courte durée d’hospitalisation font de l’ostéosynthèse percutanée cimentée une technique tout à fait appropriée pour la prise en charge de patients dont l’état général est altéré.
Elle implique l’utilisation de dispositifs tels que des vis solidarisées à l’os par du ciment médical afin de stabiliser mécaniquement l’os et favoriser leur guérison. Elle s’adresse aux fractures non déplacées et stables qui restent douloureuses malgré l’utilisation des dispositifs externes, tels que des attelles ou plâtres.
En stabilisant les os, l’ostéosynthèse aide à restaurer la fonction normale avec un reprise rapide de la marche.
Les ostéosynthèses sont réalisées par un radiologue interventionnel en utilisant le couple scanner/radioscopie afin de réaliser un guidage 2D/3D précis. Ce guidage permet d’atteindre avec une grande précision la zone à traiter afin d’y disposer les vis permettant de stabiliser le foyer de fracture. L’ajout de ciment est fréquent afin de solidariser les vis avec l’os non pathologique.

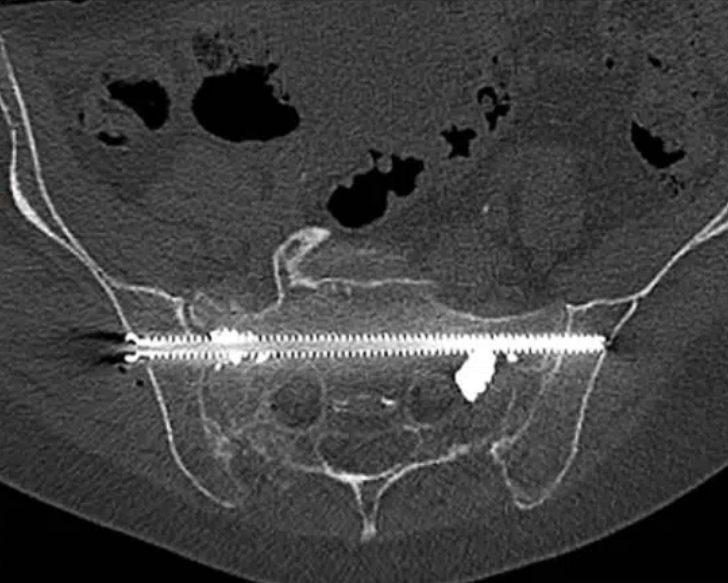
Ostéosynthèse du sacrum sur fracture en H d’origine ostéoporotique
Cette intervention est décidée de manière collégiale après une Réunion de Concertation Pluridisciplinaire (radiologue, oncologue, chirurgien orthopédiste et médecins de la douleur) sur la base du dossier clinique du patient et des données d’imagerie. Un arrêt de travail de 48h est nécessaire.
Une consultation de radiologie interventionnelle sera réalisée afin d’expliquer l’intervention au patient, de lui présenter les complications potentielles, d’évaluer avec lui rapport bénéfice/risque et de s’assurer qu’il ait bien compris les enjeux avant de recueillir son consentement éclairé et signé.
Ce traitement est remboursé par l’assurance maladie et les mutuelles. Les radiologues interventionnels du service de radiologie du CHBA de Vannes ne pratiquent pas de dépassement d’honoraire.
L’intervention : explications
Comment se déroule une ostéosynthèse du bassin ?
L’intervention d’ostéosynthèse nécessite une courte hospitalisation : entrée la veille de l’intervention, sortie le lendemain en l’absence d’incident.
Le traitement se déroule au bloc opératoire dans le service de Radiologie compte tenu de la nécessité d’un repérage radiologique (scanner et/ou appareil de scopie). Cette intervention peut-être réalisée sous sédation et anesthésie locale ou sous anesthésie générale, selon le nombre de lésions à traitées, la tolérance et la coopération prévisible du patient. La voie d’abord dépend de la localisation osseuse.
Après désinfection de la peau et mis en place de champ opératoire, une petite incision cutanée est réalisée. Un trocart (aiguille creuse de gros diamètre) est positionnée sous contrôle radiologique 2D/3D au sein de la structure osseuse à traiter en prenant soin d’éviter les structures nerveuses et vasculaires à risque.
Lors de l’ostéosynthèse percutanée, la ou les vis sont positionnées sur une canule montée sur le trocart préalablement positionnée sous controle 2D/3D. Dans la majorité des cas une injection de ciment est réalisée afin de consolider l’ ‘ensemble du montage.
Comment se préparer à une ostéosynthèse?
- Consultation et évaluation médicale : vous serez convoqué pour une consultation avec un radiologue interventionnel, qui va valider l’indication de l’intervention en fonction votre dossier médical. Pendant cette consultation, le radiologue vous expliquera également les différentes étapes de l’intervention et les risques de complications de ce geste. Il répondra aux éventuelles questions que vous vous posez.
- Avant votre rendez vous, il sera nécessaire de réaliser une consultation d’anesthésie car il s’agit d’intervention se réalisant sous anesthésie générale. L’anesthésiste évaluera le dossier médical du patient pour décider de la possibilité de réaliser l’anesthésie générale. Il pourra possiblement demander l’arrêt de certain médicament de manière temporaire.
- Le jour de l’examen, il est important de venir accompagné et d’apporter votre dossier d’imagerie et également vos documents administratifs (carte vitale et carte de mutuelle), votre consentement écrit à la réalisation de cet intervention.
- Il est important d’être à jeun le jour du geste comme pour toute intervention nécessitant une anesthésie générale
Quelle est l’efficacité de l’ostéosynthèse du bassin ?
L’ostéosynthèse est généralement très efficace pour favoriser la guérison des fractures. Les taux de réussite sont élevés, et la plupart des patients retrouvent une fonction normale de la zone opérée. Cette intervention permet également de faire disparaitre la douleur ou en tous cas de nettement diminuer les traitements antalgiques notamment les morphiniques.
Cependant, le succès dépend de plusieurs facteurs, notamment la gravité de la fracture, l’âge du patient et sa santé générale.
Quelles sont les complications potentielles ?
Bien que l’ostéosynthèse soit généralement considérée comme sûre, elle peut comporter des risques, notamment :
- Infection : Un risque d’infection au site de ponction existe.
- Douleurs persistantes : Certains patients peuvent ressentir une douleur chronique après l’intervention.
- Non-union ou mal-union : Les os peuvent ne pas guérir correctement, entraînant des complications fonctionnelles.
- Réactions aux implants : Certaines personnes peuvent développer des réactions indésirables aux matériaux utilisés pour la fixation.
J’hésite / Aide à la décision
Quels sont les autres traitements des douleurs rachidiennes ?
Modification de l’activité physique pour éviter les mouvements aggravants. Pratiquer régulièrement une activité physique adaptée.
- Maintenir une posture correcte en position assise et lors du port de charges lourdes.
- Eviter le surpoids par une alimentation équilibrée et de l’exercice régulier.
- Renforcer les muscles du dos et du tronc.
- Anti-inflammatoires et analgésiques pour contrôler la douleur.
Afin d’optimiser la gestion du conflit disco-radiculaire, il est essentiel de consulter rapidement en présence des premiers symptômes et d’adopter une bonne hygiène de vie pour prévenir leur aggravation.