L’embolisation des varices pelviennes est une intervention mini-invasive radioguidée ayant pour objectif de boucher les veines pathologiques dilatées (varices) à l’origine du syndrome de congestion pelvienne. L’embolisation des varices pelviennes est la seule intervention possible lorsque les règles hygiéno-diététiques, les bas de contention ou les médicaments ne sont plus suffisants pour soulager le syndrome de congestion pelvienne.


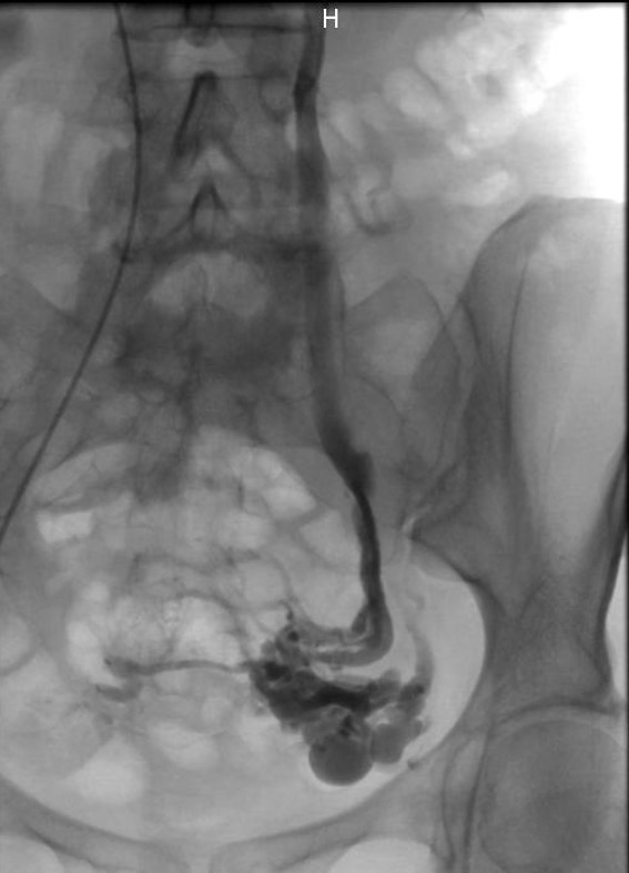
Cette intervention est réalisée par un radiologue interventionnel qui, après anesthésie locale et ponction de la veine fémorale (piqûre en haut de la cuisse au niveau du pli de l’aine), va y insérer un petit cathéter (tuyau) de quelques millimètres et cartographier l’ensemble du réseau veineux pathologique grâce à une injection de produit de contraste iodé (phlébographie). L’intervention est réalisée sous contrôle radiologique en temps réel.
Une fois le cathéter en place le radiologue injecte l’agent embolisant (colle biologique bio-résorbable) jusqu’à boucher les veines dilatées et le réseau variqueux ce qui redirige le flux sanguin vers le réseau veineux non pathologique faisant disparaitre les phénomènes de stase et de congestion veineuse.
Cette intervention présente une efficacité > 70 % sur les symptômes du syndrome de congestion pelvienne.
L’embolisation de varices pelviennes dure environ 1 à 2h et peut se réaliser sous anesthésie locale ou sédation consciente dans la plupart des cas.
Cette intervention se fait généralement en ambulatoire. Un arrêt de travail de 1 à 2 sem. est nécessaire. Ce traitement est remboursé par l’assurance maladie et les mutuelles. Les radiologues interventionnels du service de radiologie du CHBA de Vannes ne pratiquent pas de dépassement d’honoraire.
En savoir plus (FAQ)
Qu’est ce que sont les varices pelviennes et le syndrome de congestion pelvienne ?
Le syndrome de congestion pelvienne (SCP) est une pathologie qui touche principalement les femmes en âge de procréer, souvent après plusieurs grossesses. Il est causé par la présence de varices (veines dilatées) dans la région pelvienne, généralement autour des ovaires et des veines utérines et s’étendant parfois vers les régions superficielles avec des varicoses au niveau des fesses, des cuisses ou de la vulve.
Les symptômes du syndrome de congestion pelvienne peuvent être:
- Douleurs pelviennes
- pendant et après les rapports sexuels (post-coïtales)
- permanente ou cyclique (douleurs prémenstruelles ou menstruelle)
- plus fortes en fin de journée, en position debout ou en position assise prolongée
- Membres inférieurs
- Jambes lourdes, sensation de pesanteur parfois œdème (augmentée en fin de journée)
- démangeaison d’un seul ou des deux côtés, impatiences
- Urinaire :
- Envie pressante et fréquente d’uriner avec ou sans douleurs urinaires (dysurie)
- Sang dans les urines, Brulures mictionnelles sans cause infectieuse identifié
- Douleur rénale gauche (douleurs lombaires)
- Abdominale :
- Douleurs rectales et hémorroïdes
- Alternance diarrhées constipation
- Atteinte du périnée
- Varices atypiques: Vulvaires, racines internes des cuisses, fessières, postérieurs de cuisse.
- Varices typiques saphéniennes.
- Picotements de la vulve, sensations d’hyper excitabilité
Ces symptômes ont un impact majeur sur la qualité de vie à l’origine d’un retentissement psychologique, d’une fatigue, d’anxiété pouvant aller jusque la dépression.
L’intervention : explications
A quoi sert l’embolisation de varices pelviennes ?
L’embolisation des varices pelviennes est une procédure de radiologie interventionnelle utilisée pour traiter le syndrome de congestion pelvienne. Elle consiste à bloquer les veines dilatées responsables de la mauvaise circulation sanguine, afin de réduire les symptômes associés, notamment la douleur. Le but de l’embolisation est de rediriger le flux sanguin vers des veines saines, en fermant les veines dilatées à l’aide de substances embolisantes (comme des agents liquides ou des coils).
Cette technique est particulièrement recommandée pour les femmes dont les symptômes sont graves ou qui n’ont pas répondu aux traitements conservateurs, comme les mesures d’hygiène veineuse, les médicaments ou les thérapies physiques. Il n’existe pas d’alternative chirurgicale.


Comment se préparer à l’embolisation de varices pelviennes ?
Avant l’embolisation, plusieurs étapes sont nécessaires pour garantir le succès de l’intervention :
- Consultation et évaluation médicale : Un angiologue ou un radiologue interventionnel vous expliquera la pathologie veineuse pelvienne, évaluera vos symptômes, réalisera un examen physique, et vous proposera des examens d’imagerie comme une échographie ou une IRM pelvienne pour localiser précisément les varices pelviennes.
- Préparation physique : Vous devrez probablement jeûner pendant 6 à 8 heures avant l’intervention, surtout si elle est réalisée sous sédation ou anesthésie locale.
- Médicaments : Certains médicaments, notamment les anticoagulants, peuvent être arrêtés avant l’intervention pour réduire le risque de saignement. Vous recevrez également des instructions sur la prise en charge des médicaments pendant cette période.
- Anesthésie et sédation : L’embolisation est généralement réalisée sous anesthésie locale, avec une sédation légère pour assurer votre confort pendant la procédure. Une consultation d’anesthésie est parfois indiquée dans le mois précédent l’intervention
- Juste avant l’intervention, les recommandations médicales conseillent de ne pas boire, ne pas manger et ne pas fumer pendant les 6 heures avant l’examen.
Quelle est l’efficacité de l’embolisation des varices pelviennes?
L’embolisation des varices pelviennes est généralement très efficace pour traiter les symptômes du syndrome de congestion pelvienne. Les études montrent que jusqu’à 70 % à 90 % des patientes rapportent une amélioration significative des symptômes, particulièrement en ce qui concerne la douleur pelvienne et la sensation de lourdeur. L’efficacité dépend toutefois de la précision du diagnostic et de la localisation des varices traitées.
Quelles sont les complications potentielles ?
Les complications de l’embolisation de varices pelviennes sont rares. Toutefois, comme n’importe quelle intervention, il existe des risques liés à la procédure.
- Syndrome post-embolisation : après l’embolisation la plupart des femmes peuvent avoir des douleurs pelviennes pendant quelques jours, justifiant la prise systématique à domicile d’antalgique et anti inflammatoire, mais ne limitant pas forcément une reprise d’activité.
- Embolisation hors cible : rare moins de 1%, migration d’agent d’embolisation vers les veines rénales ou pulmonaire (embolie pulmonaire).
- Hématome au point de ponction : il est habituellement spontanément résolutif en une à quelques semaines.
- Allergie au produit de contraste iodé : inhérent à toute procédure utilisant des produits de contraste iodé. Les réactions allergiques graves sont rares (0,01 à 0,03%)
Comment cela se passe-t-il après l’embolisation des varices pelviennes ?
Après l’embolisation, les soins post-procédure sont relativement simples et la récupération est généralement rapide :
- Surveillance immédiate : Vous serez surveillé pendant quelques heures dans une salle de récupération pour vérifier vos signes vitaux et vous assurer qu’il n’y a pas de complications immédiates.
- Douleur et inconfort : Il est normal de ressentir une gêne légère à modérée dans la région pelvienne ou au niveau de la zone d’insertion du cathéter. Des analgésiques simples et anti-inflammatoires suffisent généralement à soulager cette douleur.
- Retour à la maison : Vous pourrez généralement rentrer chez vous le jour même ou après une courte observation. Il est conseillé de se reposer pendant 24 à 48 heures après l’intervention. Un suivi infirmier est organisé à domicile afin de prendre en charge les éventuelles douleurs post-opératoires.
- Suivi médical : Un suivi régulier est recommandé pour évaluer l’efficacité du traitement et s’assurer qu’il n’y a pas de complications. Une consultation de radiologie interventionnelle à 1 mois est organisée de manière systématique afin de s’assurer de la bonne évolution clinique.
J’hésite / Aide à la décision
Quels sont les autres traitements du syndrome de congestion pelvienne ?
- La contention veineuse, bien que contraignante peut être efficace sur les symptômes.
- Des anti-inflammatoires non stéroïdiens peuvent être prescrit plus ou moins associées à des agonistes de la médroxyprogestérone ou de l’hormone de libération des gonadotrophines.
Ces traitements sont malheureusement souvent insuffisants pour soulager les symptômes et l’embolisation de varices pelviennes est alors l’alternative la plus efficace.
Avantages et inconvénients de l’embolisation varices pelviennes?
Avantages :
- Seule traitement interventionnel efficace en cas d’échec des traitements médicamenteux et des règles hygiéno-diététiques (pas de technique chirurgicale alternative).
- Récupération rapide : La majorité des patientes peuvent reprendre leurs activités normales en quelques jours, et le risque de complications graves est très faible.
- Efficacité : L’embolisation a un taux de succès élevé pour soulager la douleur pelvienne et d’autres symptômes du syndrome de congestion pelvienne et donc limiter le caractère invalidants des symptômes et leurs impacts sur la qualité de vie.
Inconvénients :
- Récidive possible : Bien que la procédure soit efficace, il existe un risque que des varices résiduelles ou nouvelles se forment, nécessitant un traitement supplémentaire. Il est important de réaliser un bilan vasculaire complet avant l’embolisation (IRM, écho-doppler), avec une bonne collaboration entre le médecin vasculaire et le radiologue interventionnel.
- Non adaptée à toutes les patientes : une prise en charge conservatrice, sans embolisation, peut parfois suffire à limiter la gêne liée aux varices pelviennes et donc limiter l’impact sur la qualité de vie.
- Complications rares : Comme pour toute procédure médicale, des complications comme des infections, des saignements, ou des réactions à l’anesthésie peuvent survenir.
- Parfois inadapté : localisations particulières, volumineux fibromes multiples
Informations, publications et sites WEB d’intérêt :
ASCP – Association du Syndrome de Congestion Pelvienne en France (info-congestionpelvienne.fr)
Le Syndrome de Congestion Pelvienne | Gynéco Online (gyneco-online.com)