En bref…
Une biopsie est une intervention ayant pour objectif de prélever un fragment de tissu biologique à des fins diagnostiques.
Le prélèvement est réalisé par un radiologue interventionnel qui s’aide de techniques d’imagerie (échographie, scanner) pour cibler précisément la lésion, située dans des zones profondes ou difficiles d’accès, et obtenir un échantillon tout en minimisant les risques pour le patient.
Cette procédure est moins invasive que les biopsies chirurgicales et permet de poser un diagnostic sans nécessiter une intervention chirurgicale majeure.
Ce traitement est remboursé par l’assurance maladie et les mutuelles. Les radiologues interventionnels du service de radiologie du CHBA de Vannes ne pratiquent pas de dépassement d’honoraire.


En savoir plus (FAQ)
Quelles sont les indications d’une biopsie sous contrôle radiologique ?
- Analyser des masses suspectes : si une masse ou une anomalie est détectée lors d’examens d’imagerie (radiographie, échographie, scanner), la biopsie peut être utilisée pour déterminer la nature de cette masse (bénigne ou maligne)
- Diagnostic de cancer et orientation thérapeutique : les biopsies permettent de prélever un échantillon de tissu tumoral pour identifier des cellules cancéreuses. Elle est couramment pratiquée pour les tumeurs situées dans des zones profondes : poumons, foie, rein. Le fait de prélever un « morceau du cancer » permet de réaliser des analyses biomoléculaires et génétiques et ainsi de choisir des thérapies ciblées plus adaptées au type de cellules cancéreuses.
- Étudier des infections : dans le cas d’infections graves ou de masses infectieuses, un prélèvement peut aider à identifier le pathogène responsable et à adapter le traitement antibiotique aux types de bactéries prélevées et à leurs éventuelles résistances.
- Évaluer des maladies inflammatoires ou auto-immunes : certaines pathologies inflammatoires peuvent entraîner des anomalies dans les tissus, et la biopsie permet d’obtenir un échantillon pour un diagnostic plus précis
- Surveiller une maladie chronique : la biopsie peut être utilisée pour évaluer l’évolution d’une maladie et la réponse au traitement comme dans le cas des maladies du foie (notamment la cirrhose) ou des reins.

L’intervention : explications
Comment se déroule une biopsie sous contrôle radiologique ?
La biopsie est réalisée sous guidage radiologique (échographie, scanner, ou fluoroscopie) pour assurer la précision de l’intervention.
- Préparation du patient : Avant le drainage, une concertation entre le radiologue interventionnelle et le médecin qui demande l’intervention est réalisée pour évaluer l’état de santé du patient et déterminer la lésion à biopsier. On vérifie que le patient ne présente pas de surrisque hémorragique (bilan sanguin, arrêt des éventuels anticoagulants). Le drainage est réalisée sous anesthésie locale. Avant l’intervention à proprement parler, on réalise une désinfection de la zone de prélèvement et on met en place des champs stériles, ce type d’intervention étant réalisé dans des conditions d’aseptise stricte.
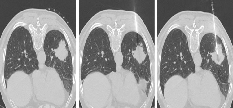
- Réalisation de la biopsie: Une aiguille fine servant à réaliser l’anesthésie locale est insérée sous guidage radiologique pour accéder à la la lésion cible. Tout le trajet d’accès est anesthésié. Une fois l’anesthésie locale réalisée, on met en place sous guidage radiologique une aiguille de plus large diamètre qui nous permettra de réaliser la biopsie. Au moment de la biopsie vous entendrez un petit bruit sec, « clac » , qui correspond à l’activation mécanique du système de prélèvement automatique.
- Imagerie médicale : Le radiologue interventionnel va choisir la technique d’imagerie (échographie, scanner, radiologie) qui lui permettra de localiser avec précision la lésion cible et de pouvoir guider le plus précisément possible l’aiguille jusqu’à celle-ci . Pour les lésions profondes, le scanner est généralement utilisé avec un contrôle itératif de la progression de l’aiguille de biopsie. Pour les collection plus superficielles, l’échographie est souvent la technique de guidage la plus utilisée car elle permet de suivre en temps réel l’avancée de l’aiguille.
La procédure dure généralement 15 min à 1h en fonction de la difficulté de réalisation de la biopsie, et les patients sont généralement surveillés plusieurs jours après l’intervention dans un service spécialisé.
Comment cela se passe-t-il après une biopsie sous contrôle radiologique ?
- Surveillance immédiate : En fonction du site de biopsie (foie, rein, ganglion superficiel…), le patient reste sous observation pendant quelques minutes à quelques heures après la procédure pour détecter d’éventuelles complications comme des saignements ou des infections.
- Suivi médical : une consultation avec le médecin prescripteur est généralement convenu au décours de la biopsie afin de réaliser l’annonce des résultats du prélèvement.
Quelle est l’efficacité d’une biopsie sous contrôle radiologique ?
Du fait de la réalisation de cet acte sous contrôle radiologique, les prélèvements sont précis et permette généralement de répondre à la question principale posée par le prescripteur à savoir qu’elle est la nature de la lésion biopsiée.
Cependant dans de rares cas, la biopsie peut revenir non contributive et il parfois nécessaire de réitérer la procédure.
Quelles sont les complications potentielles ?
Comme toute procédure médicale, des complications peuvent survenir. Les complications les plus fréquentes sont la douleur, qui sera prise en charge par un traitement adapté. Comme tout acte dit invasif, il y a un risque de saignement (hématome, hémorragie) ou d’infection.
L’équipe médicale du CHBA met tout en œuvre pour limiter ces risques, c’est pourquoi une hospitalisation de sûreté et de surveillance est parfois programmée.
En cas de complications, l’hospitalisation peut être prolongée et des actes complémentaires réalisés. Notre équipe radiologique interventionnelle et chirurgicale est formée à la prise en charge de ces complications