L’infiltration consiste à délivrer un médicament anti-inflammatoire (de type corticoïde) à un endroit précis de la colonne vertébrale afin de soulager la douleur et stopper les phénomènes inflammatoires d’origine dégénérative. Ces médicaments ont une action locale puissante et une faible diffusion dans l’organisme..
En fonction du site d’injection, on distingue les infiltrations articulaires postérieures (ciblant une ou plusieurs articulations unissant 2 vertèbres) par abord direct ou via leur innervation (bloc de branche médiale), épidurales (ciblant un espace interne de la colonne vertébrale), ou péri-radiculaires (ciblant le nerf sortant de la colonne vertébrale) pour les plus communes.
Nous réalisons les infiltrations du rachis sous contrôle scanner et sous anesthésie locale.
Il n’y a donc pas d’« infiltration du dos » standard, mais de multiples cibles potentielles.
Toutes douleurs du dos (lombalgie, cervicalgies) et/ou radiculalgies de la jambe ou du bras (sciatalgies, curalgies ou névralgies cervico-brachiales) ne nécessitent pas une infiltration. L’évolution attendue chez la majorité des patients est une diminution spontanée des douleurs. L’infiltration est indiquée si les douleurs ou radiculalgies sont prolongées, résistent au traitement médicamenteux (généralement anti-inflammatoires oraux prescrits par votre médecin) et si vos examens d’imagerie (IRM ou scanner) mettent en évidence une cause supposée de vos douleurs.
L’infiltration a pour objectif de tenter de soulager vos douleurs (infiltration dite thérapeutique). Dans certains cas, l’objectif peut être d’identifier la cause de vos douleurs (infiltration dite diagnostique) souvent via l’injection d’un produit anesthésique local.
Pour ce qui est du rachis/colonne vertébrale, il existe deux types d’infiltration :
- Infiltration épidurale ou foraminale : injection en regard de la zone de conflit entre les nerfs (nerf crural ou sciatique) et les disques et/ou les structures osseuses. Pour l’infiltration épidurale l’injection est faite dans l’espace graisseux entre la dure-mère contenant la vertèbre osseuse et les nerfs. Dans de rares situations, l’infiltration est réalisée dans le foramen vertébral (région par laquelle les nerfs « sortent » du canal lombaire).
- Infiltration facettaire ou articulaire postérieure : articulation vertébrale souvent associée à des poussées inflammatoires d’arthrose vertébrale
Ces infiltrations sont réalisées par un radiologue interventionnel sous contrôle scanner, sous contrôle échographique ou sous contrôle radiographique. Ce guidage permet d’atteindre avec une grande précision la zone à traiter.


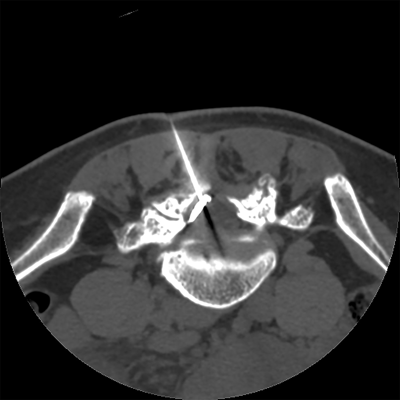
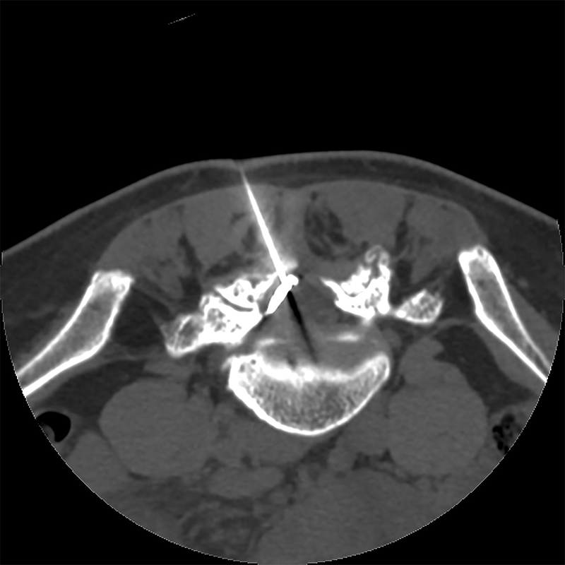
Infiltration épidurale lombaire dans un contexte de sciatique
Vous serez initialement pris en charge par un manipulateur en radiologie, qui vous installera sur le ventre sur la table de radiologie ou de scanner et réalisera une désinfection cutanée soigneuse de la zone à traiter
Ensuite, un repérage de la zone anatomique sera faite par un moyen d’imagerie (scanner le plus souvent ou radiographies).
Grâce à ce repérage le radiologue interventionnel va guider son aiguille vers la zone cible tout en injectant un anesthésique local. Une fois en place dans la zone cible, il va ensuite injecté un produit de contraste iodé puis contrôler la diffusion de ce produit afin de confirmer la bonne position de l’aiguille.
Si le contrôle est satisfaisant, il réalise alors l’injection de corticoïdes. Pendant l’injection, il est possible que les douleurs de radiculalgies habituelles soient reproduites.
Cette intervention se fait en ambulatoire. Un arrêt de travail de 48h est nécessaire. Ce traitement est remboursé par l’assurance maladie et les mutuelles. Les radiologues interventionnels du service de radiologie du CHBA de Vannes ne pratiquent pas de dépassement d’honoraire.
L’intervention : explications
A quoi sert l’infiltration rachidienne ?
L’infiltration articulaire et rachidienne consiste en une injection de médicament anti-inflammatoire à base de cortisone directement au sein de la région douloureuse.
Les injections locales de ce type sont très fréquentes dans le cadre du traitement des pathologies et anomalies rhumatologiques. L’objectif de cette infiltration sera d’agir au contact de la zone douloureuse. Elle permet notamment de traiter les douleurs neurologiques à type de sciatique ou curralgie dans le cadre de conflit disco-radiculaire (hernie discale) ou de canal lombaire étroit.
L’avantage de l’infiltration rachidienne est qu’elle aura beaucoup plus d’efficacité qu’un traitement médical par voie générale pris sur la durée puisque l’injection cible directement l’articulation ou le conflit disco-articulaire responsable des douleurs. Ceci permet également d’éviter la majorité des effets secondaires sytémique des corticoides.
Comment se préparer à une infiltration rachidienne?
- Consultation et évaluation médicale : vous serez convoqué pour une consultation avec un radiologue interventionnel, qui va valider l’indication de l’intervention en fonction votre dossier médical. Pendant cette consultation, le radiologue vous expliquera également les différentes étapes de l’intervention et les risques de complications de ce geste. Il répondra aux éventuelles questions que vous vous posez.
- Je suis sous traitement antiagrégant ou anticoagulant, dois-je les arrêter ?
Il ne faut JAMAIS arrêter un traitement antiagrégant ou anticoagulant de votre propre chef, car celui-ci vous protège d’une pathologie potentiellement grave. L’arrêt ou non du traitement dépend de la zone de la colonne qui sera traitée, et sera demandée par le radiologue interventionnel vu en consultation préalablement au geste, en accord avec votre médecin référent (médecin traitant ou spécialiste cardio-vasculaire) cardiologue, si vous avez ce traitement.
- Le jour de l’examen, il est important de venir accompagné et d’apporter votre dossier d’imagerie et également vos documents administratifs (carte vitale et carte de mutuelle), votre consentement écrit à la réalisation de cette infiltration et le questionnaire médical rempli.
- Il n’est pas nécessaire d’être à jeun le jour du geste et il est conseillé de manger un peu. Vous pouvez également prendre votre traitement antalgique. Enfin, juste avant l’infiltration, pour plus de confort, pensez à aller aux toilettes car il ne sera pas possible de vous déplacer pendant l’intervention.
Quelle est l’efficacité des infiltrations rachidiennes ?
Ça fait effet combien de temps ?
Personne ne peut prédire l’intensité ou la durée d’amélioration. Ce qui est important de comprendre est que l’infiltration n’est globalement pas un moyen de traiter une douleur de dos sur le long terme. Elle vise à faire passer un cap douloureux (par exemple sur une crise de sciatique sur une hernie discale) ou à briser un cercle vicieux de douleur (par exemple sur une arthrose postérieure). L’absence de récidive douloureuse passe essentiellement par des solutions actives (activité physique, sportive, éventuellement guidée par un kinésithérapeute).
J’ai déjà eu une infiltration du dos et ça n’a pas marché.
Même raisonnement que précédemment. La cible choisie n’a visiblement pas été la bonne. De nouveaux éléments ont pu entrer en considération et font choisir une autre zone anatomique. Comme rien de permet d’être certain que telle ou telle structure anatomique est responsable des douleurs dans 100% des cas, il faut parfois progresser par étapes. Reconsidérer son hypothèse et aller choisir une autre zone en cas d’échec. Cela peut être frustrant lorsque l’on souffre et que l’on cherche une solution, mais cela fait peut faire partie de la démarche nécessaire pour trouver le bon diagnostic et donc le bon traitement.
Lorsqu’un test anesthésique est réalisé, l’absence de réponse, mais si elle peut être frustrante … est une réponse en soi car elle permet « d’innocenter » une structure anatomique et donc de progresser dans la démarche diagnostique.
Mon voisin, mon cousin a déjà eu une infiltration et cela ne marche pas.
L’infiltration du dos ciblée par imagerie n’est pas une procédure standard. Rien que sur une colonne lombaire, plusieurs dizaines de structures anatomiques peuvent être ciblées. Il s’agit donc de médecine personnalisée : la zone anatomique ciblée est choisie en fonction de vos symptômes et de vos données d’imagerie. Pas de celles de quelqu’un d’autre.
Si les infiltrations sont inefficaces, on préconisera un avis spécialisé chirurgical.
Quelles sont les complications potentielles ?
Comme tout geste pénétrant la peau, il existe des risques d’infection et d’hématome. Ces risques sont rares (<0,5%) et toutes les précautions recommandées sont prises pour les éviter (désinfection, matériel stérile…).
Il peut par contre exister de manière rarissime des risques allergiques au produit de contraste iodé ou au corticoïde utilisé.
Certains patients peuvent également présenter un malaise vagal pendant ou décours du geste , qui est dans la majorité des cas rapidement résolutif.
Durant les 48 premières heures après le geste, il peut survenir une recrudescence des douleurs. Il peut exister de manière rarissime des effets secondaires liés au produit de contraste iodé et aux corticoïdes, ils sont énumérés de manière exhaustive sur leur notice. Il peut notamment exister un déséquilibre transitoire de la glycémie chez le patient diabétique.
De manière plus rare, il peut exister des céphalées en cas de ponction de la dure mère.
Comment cela se passe-t-il après une infiltration rachidienne ?
Suite à une infiltration épidurale, De plus, l’effet de l’infiltration du rachis n’est pas instantané. Généralement, plusieurs jours ou semaines sont nécessaires pour obtenir l’effet escompté de l’injection. Cette période est estimée en moyenne à 2 semaines.
- Surveillance immédiate : Vous serez surveillé pendant 20 min. dans une salle de récupération pour vérifier qu’il n’y a pas de complications immédiates. Vous pourrez ensuite retourner à votre domicile.
- Retour à la maison : Vous pourrez généralement rentrer chez vous le jour même ou après une courte observation. Pour votre retour à domicile, empruntez les transports publics ou faites-vous véhiculer, car il est déconseillé de conduire après une infiltration.
- Au décours du geste, il est possible de ressentir une recrudescence des douleurs les 48 premières heures. Il est conseillé de rester au calme pendant une durée de 24 à 48 heures pour que les symptômes s’atténuent rapidement. Cependant, le patient n’est pas obligé de rester immobile mais ne doit pas réaliser d’efforts conséquents (marche intensive, ports de charge…). Un traitement antalgique peut être pris si besoin lors des premiers jours. L’effet de l’infiltration commence à être ressenti après 3j à une semaine en moyenne.
J’hésite / Aide à la décision
Quels sont les autres traitements des douleurs rachidiennes ?
Modification de l’activité physique pour éviter les mouvements aggravants. Pratiquer régulièrement une activité physique adaptée.
- Maintenir une posture correcte en position assise et lors du port de charges lourdes.
- Eviter le surpoids par une alimentation équilibrée et de l’exercice régulier.
- Renforcer les muscles du dos et du tronc.
- Anti-inflammatoires et analgésiques pour contrôler la douleur.
Afin d’optimiser la gestion du conflit disco-radiculaire, il est essentiel de consulter rapidement en présence des premiers symptômes et d’adopter une bonne hygiène de vie pour prévenir leur aggravation.