Au sein du service d’imagerie du GHBA du territoire de Vannes nous mettons à votre disposition une prise en charge radiologique dédiée aux pathologies cardio-thoracique et vasculaire. L’imagerie cardio-thoracique est un domaine de la radiologie qui utilise diverses techniques d’imagerie pour visualiser le cœur, les vaisseaux sanguins et les poumons.
Ces techniques permettent de diagnostiquer et de surveiller :
- les pathologies cardio-vasculaires : maladies coronariennes, pathologies de l’aorte thoracique et abdominale, pathologies des artères à destinée rénale ou digestive…
- Les pathologies broncho-pulmonaires : pneumopathie infectieuse, cancer broncho-pulmonaire, dépistage, pneumopathie interstitielle…
Chaque modalité d’imagerie (IRM, angioscanner, échographie…) a ses indications spécifiques et permet d’obtenir des informations précieuses pour la prise en charge des patients. Il est crucial de bien se préparer pour chaque examen et de suivre les recommandations du médecin pour obtenir des résultats optimaux. Le service de radiologie du GHBA Vannes est le seul à proposer la réalisation d’IRM cardiaque sur le territoire de Vannes.



Prise de rendez-vous
Résultats
Le ou la radiologue responsable de l’examen vous communiquera spontanément ou à votre demande un compte rendu oral. Cependant, il se peut que du fait d’urgences il/elle soit parfois indisponible.
Les images et le compte rendu de vos examens seront accessibles généralement dans les 48h sur le portail web d’imagerie (cliquez ici pour y accéder). Un document avec un code d’accès et QR code vous sera également remis par le secrétariat de la radiologie afin de pouvoir accéder aux images et au compte rendu écrit, ce compte rendu écrit sera transmis en parallèle au médecin prescripteur et/ou au médecin traitant.
Le jour de l’examen que devez vous apporter ?
Votre ordonnance (la convocation n’ayant aucune valeur)
Votre carte vitale, carte d’identité et carte de mutuelle (en cours de validité) pour le bureau des entrées
Vos résultats de prise de sang ainsi que les derniers examens d’imagerie (par exemple votre dernier scanner)
Tout médicament (voir convocation).
Vos attestations de maladie professionnelle ou d’accident de travail
Tout document mentionnant un dispositif médical (par exemple : pacemaker, stent, prothèse…)
En savoir plus (FAQ) ?
Les examens scanner : le scanner thoracique, l’angioscanner, le coroscanner...
- Scanner cardiaque et score calcique : C’est un examen non-invasif qui permet de connaître la quantité de calcifications coronariennes et d’estimer indirectement le risque cardiovasculaire des maladies coronariennes.
- Coroscanner : il s’agit d’un examen scanner nécessitant une injection de produit de contraste iodé. L’acquisition des images est synchronisée sur le rythme cardiaque afin de permettre d’analyser précisément les artères coronaires et la présence d’une éventuelle sténose pouvant être à l’origine d’une souffrance cardiaque. A noter que le radiologue peut décider d’injecter une ampoule de beta bloquant afin de ralentir le cœur si le rythme cardiaque est trop rapide ou irrégulier, et/ou des bouffées de vasodilatateur (Natispray) pour favoriser la visualisation des artères coronaires.
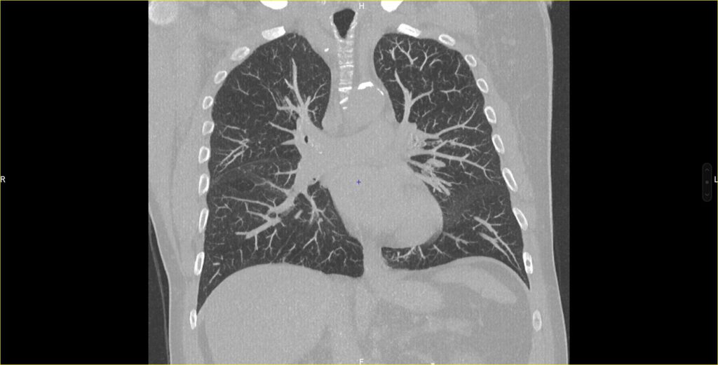
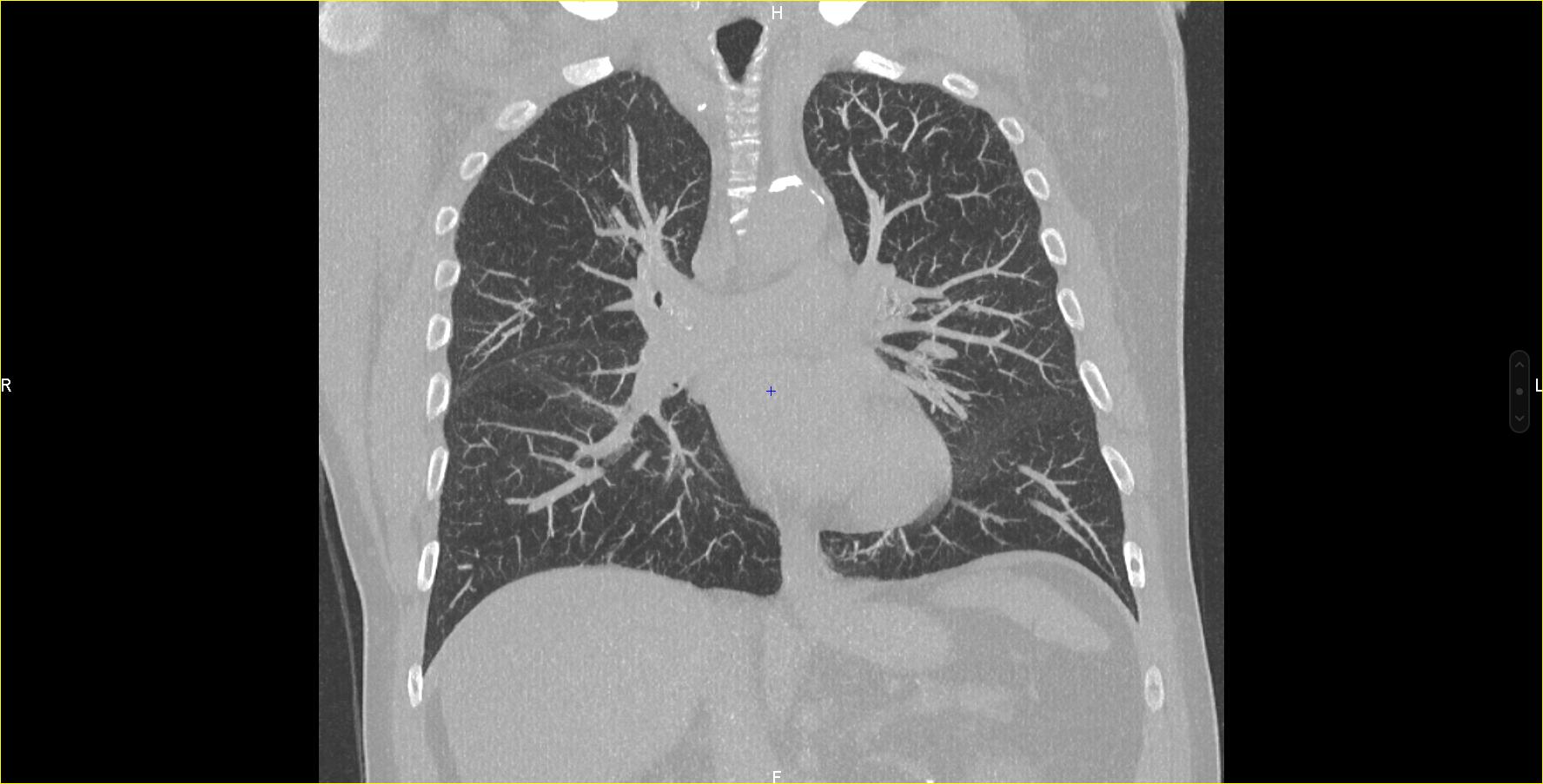
- Scanner thoracique : L’examen de référence pour le diagnostic et le suivi des pathologies pulmonaires (pneumopathie infectieuse, cancer broncho-pulmonaire, dépistage, pneumopathie interstitielle…)
- Angioscanner artériel et/ou veineux : pour visualiser les vaisseaux sanguins. Cet examen nécessite l’injection de contraste iodé dans les vaisseaux pour diagnostiquer les sténoses vasculaires, les anévrismes de l’aorte abdominale ou de ses branches, les malformations et pour guider les interventions chirurgicales. L’angioscanner est également l’examen de choix pour diagnostiquer l’embolie pulmonaire.

Pour plus d’informations sur le déroulement d’un scanner, cliquez ici.
L’IRM cardiaque et les AngioIRM
- L’IRM cardiaque : L’IRM cardiaque est une IRM centrée sur le cœur. Elle vise le plus souvent à rechercher une anomalie du muscle cardiaque (myocarde) mais permet également de faire des bilans de malformation cardiaque ou de cardiomyopathie. La synchronisation au rythme cardiaque permet d’analyser des phases précises du cycle cardiaque, afin d’avoir des informations notamment sur sa capacité à se contracter. Elle permet également de faire la différence entre différentes pathologies du myocarde : infarctus, une myocardite, sarcoïdose…
- L’AngioIRM (ARM) : Cette technique est utilisée pour déceler des pathologies artérielles ou veineuses notamment chez les patient(e)s présentant une insuffisance rénale sévère ou une allergie au produit de contraste iodé. L’IRM a également l’avantage d’être non irradiante, ce qui est un atout notamment pour les patients jeunes ou chez les femmes enceintes. L‘angioIRM permet également d’avoir accès à la composante dynamique de la vascularisation et de pouvoir visualiser en temps réel les artères puis le retour veineux, ce qui en fait l’examen de choix pour les varices pelviennes mais également pour les malformations ou les fistules artérioveineuses.
Pour plus d’informations sur le déroulement d’une IRM, cliquez ici.